Ortodontia é a especialidade da odontologia responsável por prevenir e corrigir problemas relacionados à posição dos dentes, buscando melhorar a função mastigatória, respiratória e estética do paciente.
Por que realizar acompanhamento com ortodontista?
EXCELENTE Com base em 158 avaliações Publicado em Dalila MagalhãesTrustindex verifica se a fonte original da avaliação é Google. Atendimento perfeito, humanizado e cheio de cuidados, pré, durante e pós! Estão de parabéns!!Publicado em Débora GusmãoTrustindex verifica se a fonte original da avaliação é Google. Atendimento experiente e calmo na primeira consulta do meu bebe! 🥰🥰Publicado em Ricardo NakamuraTrustindex verifica se a fonte original da avaliação é Google. Lugar incrível! A indri é maravilhosa!Publicado em MariTrustindex verifica se a fonte original da avaliação é Google. Simplesmente MARAVILHOSA! Atendimento de excelência, com muito carinho e atenção com nossas crianças!Publicado em Mirella MatosTrustindex verifica se a fonte original da avaliação é Google. Nossa experiência foi excelente. A começar pelo tratamento da secretária. Dra. Indri é muito atenciosa, acolhedora e minuciosa nos cuidados, se preocupando não somente com os dentinhos, mas com seus pacientes. Ela é muito humana.Publicado em Lilian PalharesTrustindex verifica se a fonte original da avaliação é Google. Dra Indri é maravilhosa. Explica tudo e atende super bem.Publicado em Nathalia LacerdaTrustindex verifica se a fonte original da avaliação é Google. Excelente! Profissional carinhosa com as crianças, muito didática na explicação e indico muito a Dra Indri.Publicado em Mariana Dourado AbeTrustindex verifica se a fonte original da avaliação é Google. Ambiente acolhedor, atendimento impecável!
Quem vai cuidar do seu procedimento
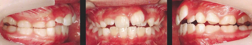
Do sorriso comum ao extraordinário
Veja o antes e depois impressionante dos nossos pacientes.!
Paciente: SLF, de 8 anos
ANTES
DEPOIS